Veneers in Scottsdale, AZ
Veneers can transform your teeth into the bright, white smile you’ve always wanted. Dr. Kris Alpers, along with our dedicated team, is eager to guide you through this journey. Together, we're here to craft a smile that's not only captivating but also renews your confidence. Let's collaborate to make your smile a masterpiece!

Why should I get veneers?
Porcelain veneers offer a transformative way to conceal imperfections and achieve a stunning smile. Whether you're looking for no prep veneers or minimally invasive, traditional porcelain veneers, Dr. Kris Alpers and our Scottsdale team believe that veneers can help you achieve the smile of your dreams.
The Benefits
Enhanced
Aesthetics
Dental veneers provide a customized solution to correct various dental imperfections, leaving you with a flawlessly aligned and radiant smile.
Instant
Transformation
With veneers, you can experience a dramatic smile transformation in a relatively short time, boosting your confidence and self-esteem.
Natural
Appearance
Porcelain veneers are designed to mimic the appearance of natural teeth, resulting in a seamless integration with your existing smile.

Here’s How It Works
Professional Consultation
At our Scottsdale dental office, Dr. Kris Alpers will assess your dental needs and collaborate with you to design no prep veneers or traditional porcelain veneers that align with your desired outcomes.
Smile Simulations and Photography
Using advanced Smile Simulations and photography, we will visualize the potential results and ensure that your veneers achieve the appearance you envision.
Minimal Tooth Preparation
With minimally invasive porcelain veneers, a small amount of enamel is gently removed from the teeth receiving veneers to accommodate the thin veneer shells. No prep veneers require even less preparation.
Custom Veneer Fabrication
Digital impressions are taken and sent to our advanced dental laboratory for precise porcelain veneer fabrication using cutting-edge technology.
Veneer Bonding
The custom dental veneers are carefully bonded to your teeth using advanced bonding agents and techniques, creating a strong and durable attachment.
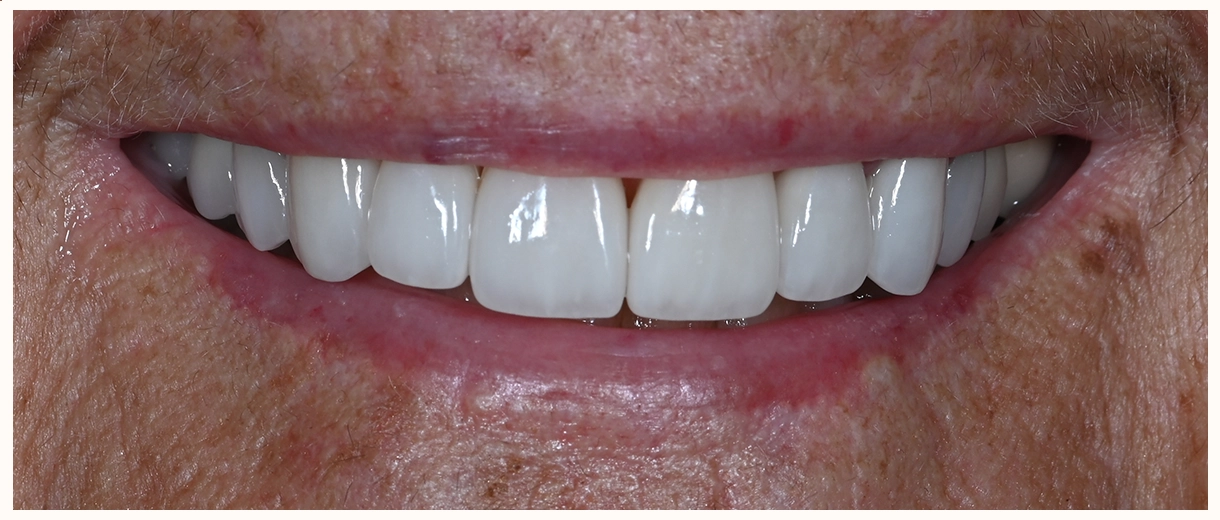
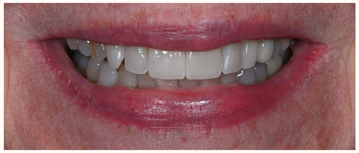
Real Patients, Real Results

Before

After
12 upper no prep veneers

Before

After
8 veneers

Before

After
10 veneers on the upper, 6 veneers on the lower, and a couple of crowns on the back teeth

Before

After
Full mouth reconstruction involving Invisalign, 14 upper crowns, bridges and veneers and 6 lower crowns and bridges

Before

After
Invisalign, followed by 12 veneers on the top and 4 on the bottom

Before

After
2 veneers

Before

After
4 veneers

Before

After
8 porcelain crowns/veneers
FAQ
Get Your Questions Answered
What are veneers?
A dental veneer is a cosmetic treatment that alters the appearance of a tooth by covering cracks, chips, discoloration and other imperfections. The veneer acts as a shell to cover the entire visible surface of your tooth, and itis a way to cosmetically enhance the aesthetics of a smile in terms of size, shape, shade and texture of the teeth.
What's the process for getting veneers?
It begins with a consultation appointment at our Scottsdale location, and the entire process takes about 4-6 weeks. Read more about the process for getting porcelain veneers here.
How do I know how many veneers I need?
The number of veneers you need varies greatly on a number of factors. Read our article about this topic here.
Do you offer no prep veneers?
Yes! Dr. Kris Alpers offers no prep veneers at our Scottsdale AZ office. Call us at 480-998-3355 to schedule your consultation.
What’s the difference between veneers vs crowns? Or veneers vs dental bonding?
There are many differences between dental veneers and dental crowns, but the primary difference is that veneers only cover the front surface of the tooth and are used to improve the look of your smile; whereas, dental crowns cover the entire surface of the tooth to aid in strengthening and repairing teeth. For patients who do not have issues like decay or trauma, veneers are usually a great option to optimize the aesthetics of their smile.
Patients who are considering veneers may also look into options like dental bonding. Dental bonding, also called composite veneers or resin veneers, is amore conservative option and may be the right choice if you have a small chip or shade inconsistency. However, dental bonding may not last as long as porcelain veneers, and it can dull or stain quickly. A porcelain veneer gives you more control of the shade, shape, shine, longevity and won't stain. Schedule a consultation to find out which treatment is right for you.
How do I achieve natural-looking veneers?
To make porcelain veneers look like natural teeth, Dr. Alpers can add a small amount of translucency to the bottom of the veneer. It’s also important to consider factors like selecting a natural shade and shape of the veneer to ensure you get natural-looking veneers. We’re experts on creating natural-looking veneers, and we’re here to walk you through the process to ensure your veneers meet your smile goals! For more on this, read our article about natural looking veneers here.
Can I have veneers on the front two teeth?
Yes, it is 100% possible to have veneers on your two front teeth. Contrary to common belief, it's achievable and – sometimes preferable – to have a few number of veneers, though it requires advanced skill and attention to detail from the dentist placing the veneers. Read more about this topic here.
What is the cost of dental veneers?
You can expect a veneer to cost about $1,500 to $2,000 per veneer. As you weigh the cost, make sure to factor in the cost over the course of its lifetime, which can be 10 to 20 years. You should see it as an investment in yourself!
How much does a full mouth of veneers cost?
Since most people who want a complete refresh of their smile choose to get 6-8 veneers on their upper front teeth, the cost is typically somewhere between $9,000 to $16,000. About 10% of the time, patients also choose to do veneers on their lower teeth. In these cases, it would cost between $18,000 to $32,000 for both upper and lower veneers (6-8 veneers each), which accounts for a full mouth of veneers.
How long do veneers last?
A general rule of thumb is that porcelain veneers need to be replaced every ten years. At our Scottsdale office, we use high quality porcelain, so many of our patients are able to have veneers that last twenty years or more.
How do I find veneers near me?
If you are in the Scottsdale area or Phoenix metro, we would love to meet you! Book your Scottsdale AZ veneers consultation today by calling or texting 480-998-3355. If you live elsewhere and cannot make the trip to our office, you will want to find a dentist near you who has expertise in cosmetic dentistry. Be sure to use caution in choosing a qualified, skilled provider who can show you before and after examples of their work.
If your veneers are part of a full mouth reconstruction, check out our checklist here to help you find the best provider for your needs.
Are there veneers examples I can see before making a decision?
Yes! Head to our smile gallery to see before and after photos that will show you examples of veneers from our Scottsdale patients.
Ready to schedule an appointment?
We look forward to meeting you! To schedule, call or text or book online.

Locations We Serve
Our Scottsdale dental office serves the following areas:
Scottsdale
Paradise Valley
Fountain Hills
Phoenix
Tempe
We also serve these specific communities in Scottsdale AZ:
- Old Town Scottsdale
- Scottsdale Fashion Square
- Camelback Country Estates
- Mountain Shadows
- Arcadia
- Arcadia Lite
- Biltmore Area
- Papago Parkway
- Central Scottsdale
- Gainey Ranch
- McCormick Ranch
- Kierland Commons
- Sweetwater Ranch
- Scottsdale Ranch
- Cactus Corridor
- McDowell Mountain Ranch
